Rena tänder med airflow
Behandlingen är smärtfri. Efteråt känns munnen fräsch och behaglig eftersom airflow sprayen finns i olika smaker som citron, jordgubb etc. Kontakta oss på Solna Dental om du är intresserad av att boka in en behandling!
Airflow utförs av någon av våra kunniga tandhygienister och hela behandlingen tar drygt 30 minuter och medför inget obehag för dig som patient. Då tekniken bygger på att blåsa rent tänderna med luft är den betydligt mer skonsam än tandblekning eller andra liknande metoder.


Kombinera med undersökning
När du bokar in en behandling kan du även passa på att göra en allmän undersökning av dina tänder.
Vi rekommenderar att du besöker en tandläkare eller en tandhygienist en till två gånger per år för att i tidigt stadium upptäcka tecken på karies eller andra problem samt att ta bort tandsten.
Förebyggande tandvård ger dig en bättre tandhälsa överlag.
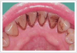
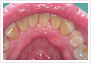
Hur fungerar Airflow?
Airflow är en behandling som effektivt tar bort missfärgningar från tänderna. Det går att jämföra med en polering som dock sker utan några skadliga partiklar – en behandling med Airflow sker med vatten, salt och luft. Många andra poleringstekniker och behandlingar i syfte att ta bort exempelvis missfärgningar har en svaghet i att de enbart fungerar ytligt. Airflow å sin sida är en behandling som gör jobbet mer på djupet och som även kommer åt mellan och på baksidan av tänderna. Det ger patienten en ren och fräsch känsla i munnen; en känsla som sitter kvar under en lång tid.
För vilka passar Airflow?
Airflow passar för de allra flesta patienter som lider av missfärgade tänder. Rökare, snusare, ivriga thé- eller kaffedrickare är några exempel på patienter som väljer Airflow som behandling. Det viktiga är att behandlingen utförs av en legitimerad tandhygienist och detta för att full effekt ska kunna utlovas. I samband med att Airflow utförs så är det också viktigt att man undersöker statusen på tänderna. Det är en kombination som rekommenderas: undersökning och Airflow kan göras vid samma besök.
En vanlig tandblekning kan vara ett sämre alternativ än Airflow. Detta i synnerhet för personer som av hävd har känsliga tänder och tunnare emalj. Gällande det färdiga resultatet så handlar det om en smaksak. En tandblekning gör tänderna vitare. Detta medan en behandling med Airflow ger tänderna den ordinarie, vitare, nyansen tillbaka – på ett mer skonsamt sätt.
Många kan uppleva att en tandblekning är för avslöjande och där man, helt enkelt, får onaturligt vita tänder. Personer i omgivningen ser att man blekt sina tänder. Airflow ger en mer naturlig blekning och det är tilltalande för många. Som sagt: det handlar om en smaksak och vi är gärna med och ger råd kring våra estetiska behandlingar för att du ska hitta en behandling som passar dina målbilder.
Besök vår moderna tandläkarmottagning
Solna Centrum
Arenatandläkarna
Hur länge sitter effekten av Airflow i?
När tänderna bryter ut gör det alltid ont. Men om de ser ut att komma upp på ett bra sätt låter man dem vara kvar.
Ofta är det trångt i käken eftersom de tänder som redan kommit upp har lagt beslag på utrymmet. Om en visdomstand har ont om plats är det lätt att den börjar växa upp snett och trycka på tanden framför.
Om den framförvarande tanden blir skadad på grund av detta är det inte ovanligt att man drar ut den tanden i stället för visdomstanden, som tar den andra tandens plats.
